LABNANO – UFMG

Publicações

Intranasal liposomal remdesivir induces SARS-CoV-2 clearance in K18-hACE2 mice and ensures survival

A huge challenge after the emergence of COVID-19 has been the discovery of effective antiviral drugs. Although remdesivir (RDV) emerged as one of the most promising drugs, its pharmaceutical formulation Veklury® is limited by moderate efficacy, high toxicity and need for parenteral administration…

Journal of Controlled 24 January 2025.

Cryoprotectant optimization for enhanced stability and transfection efficiency of pDNA-loaded ionizable lipid nanoparticles

Advances in the ability to modulate gene expression have revolutionized treatment strategies for diverse diseases, giving rise to the emergence of gene therapy (Yin et al., 2014). Remarkable progress has been achieved, establishing nucleic acid delivery as a concrete reality…

International Journal of Pharmaceutics 15 November 2024

Intranasal liposomal angiotensin-(1-7) administration reduces inflammation and viral load in the lungs during SARS-CoV-2 infection in K18-hACE2 transgenic mice

To effectively reduce the health impact of coronavirus disease (COVID-19), it is essential to adopt comprehensive strategies to protect individuals from severe acute respiratory syndrome. In that sense, much effort has been devoted to the discovery…

Antimicrobial Chemotherapy Research Article 29 October 2024

E3 Ubiquitin Ligase Smurf1 Regulates the Inflammatory Response in Macrophages and Attenuates Hepatic Damage during Betacoronavirus Infection

The E3 ubiquitin ligase Smurf1 catalyzes the ubiquitination and proteasomal degradation of several protein substrates related to inflammatory responses and antiviral signaling. This study investigated the role of Smurf1 in modulating inflammation induced by Betacoronavirus infection…

Intracellular Pathogens Published: 3 October 2024

PLA-PEG as an alternative to PEGylated lipids for nanoparticle-based DNA vaccination against SARS-CoV-2

Recent studies have highlighted various novel ionizable cationic and helper lipids for nanoparticle-based DNA delivery., However, there has been limited analysis on the impact of PEGylated lipids and lipid ingredient proportions on transfection efficiency…

Molecular therapy family September 10, 2024

Ionizable Lipid Nanoparticle-Mediated TRAIL mRNA Delivery in the Tumor Microenvironment to Inhibit Colon Cancer Progression

Immunotherapy has revolutionized cancer treatment by harnessing the immune system to enhance antitumor responses while minimizing off-target effects. Among the promising cancer-specific therapies, tumor necrosis factor-related apoptosis-inducing ligand (TRAIL) has attracted significant attention…

Tandfonline Published online: 14 Mar 2024

Ionizable Lipid Nanoparticle-Mediated TRAIL mRNA Delivery in the Tumor Microenvironment to Inhibit Colon Cancer Progression

Immunotherapy has revolutionized cancer treatment by harnessing the immune system to enhance antitumor responses while minimizing off-target effects. Among the promising cancer-specific therapies, tumor necrosis factor-related apoptosis-inducing ligand (TRAIL) has attracted significant attention…

Dovepress publication 5 March 2024

Nanoparticle-based DNA vaccine protects against SARS-CoV-2 variants in female preclinical models

A safe and effective vaccine with long-term protection against SARS-CoV-2 variants of concern (VOCs) is a global health priority. Here, we develop lipid nanoparticles (LNPs) to provide safe and effective delivery of plasmid DNA (pDNA) and show protection against VOCs in female small animal models. Using a library of LNPs encapsulating unique barcoded DNA (b-DNA), we screen for b-DNA delivery after intramuscular administration…

Nature Communications volume 15, Article number: 590 (2024)

Neuropsychiatric sequelae in an experimental model of post-COVID syndrome in mice

The global impact of the COVID-19 pandemic has been unprecedented, and presently, the world is facing a new challenge known as Post-COVID syndrome (PCS). Current estimates suggest that more than 65 million people are grappling with PCS, encompassing several manifestations…

Biorxiv Posted January 10, 2024

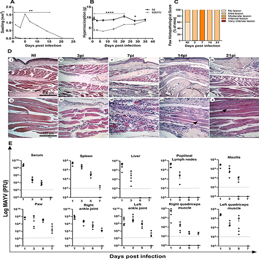
Essential role of the CCL2–CCR2 axis in Mayaro virus-induced disease

Mayaro virus (MAYV) is an emerging arbovirus member of the Togaviridae family and Alphavirus genus. MAYV infection causes an acute febrile illness accompanied by persistent polyarthralgia and myalgia. Understanding the mechanisms involved in arthritis caused by alphaviruses is necessary to develop specific therapies….

Host-Microbial Interactions Research Article 3 January 2024

siRNA lipid nanoparticles for CXCL12 silencing modulate brain immune response during Zika infection

CXCL12 is a key chemokine implicated in neuroinflammation, particularly during Zika virus (ZIKV) infection. Specifically, CXCL12 is upregulated in circulating cells of ZIKV infected patients. Here, we developed a lipid nanoparticle (LNP) to deliver siRNA in vivo to assess the impact of CXCL12 silencing in the context of ZIKV infection…..

Biomedicine & PharmacotherapY Volume 170, January 2024, 115981

Delivery of Plasmid DNA by Ionizable Lipid Nanoparticles to Induce CAR Expression in T Cells

CXCL12 is a key chemokine implicated in neuroinflammation, particularly during Zika virus (ZIKV) infection. Specifically, CXCL12 is upregulated in circulating cells of ZIKV infected patients. Here, we developed a lipid nanoparticle (LNP) to deliver siRNA in vivo to assess the impact of CXCL12 silencing in the context of ZIKV infection…..

Tandfonline Published online: 18 Oct 2023

Oral formulation of Wnt inhibitor complex reduces inflammation and fibrosis in intraperitoneal implants in vivo

The use of implantable biomaterials to replace physiological and anatomical functions has been widely investigated in the clinic. However, the selection of biomaterials is crucial for long-term function, and the implantation of certain biomaterials can cause inflammatory and fibrotic processes, triggering a foreign body reaction that leads to loss of function and consequent need for removal…

Springer Published:

Ionizable Lipid Nanoparticle-Mediated Delivery of Plasmid DNA in Cardiomyocytes

Gene therapy is a promising approach to be applied in cardiac regeneration after myocardial infarction and gene correction for inherited cardiomyopathies. However, cardiomyocytes are crucial cell types that are considered hard-to-transfect. The entrapment of nucleic acids in non-viral vectors, such as lipid nanoparticles (LNPs), is an attractive approach for safe and effective delivery…

Dovepress Accepted for publication 19 June 2022